「痛くない!」歯医者さん

円山デンタルクリニック

〒064-0821 札幌市中央区北1条西26丁目4-5

地下鉄東西線「円山公園駅」「西28丁目」徒歩5分【駐車場完備】

診療時間

9:30~12:30/14:00~18:00
日曜祝日休診

ハイシャ

011-618-8148

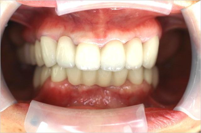
症例のご紹介

このページでは、当院で治療された患者さまの症例をご紹介いたします。

メタルボンドの症例1

治療前

治療後

メタルボンドの症例2

治療前

治療後

メタルボンドの症例3

治療前

治療後

オールセラミックの症例1

治療前

治療後

オールセラミックの症例2

治療前

治療後

ホワイトニングの症例

治療前

治療後

その他のメニュー

医院のご紹介

詳しくはこちら

院長プロフィール

詳しくはこちら

お問合せはこちら

お気軽にお問合せください

お電話でのお問合せはこちら

011-618-8148

診療時間 9:30~12:30/14:00~18:00
日・祝休診、土12:30まで

診療時間

診療日

 

午前×
午後××
診療時間

午前 9:30~12:30
午後 14:00~18:00
※土曜日は12:30まで

休診日

日曜日・祝日

お問合せ

ハイシャ

011-618-8148

お気軽にご相談ください。

お問合せはこちら

アクセス

住所

〒064-0821
札幌市中央区
北1条西26丁目4-5

地下鉄東西線「円山公園」「西28丁目」徒歩5分